Çözüldü Skolyoz dış alımlara engel mi?

Bu konu çözüldü olarak işaretlenmiştir. Çözülmediğini düşünüyorsanız konuyu rapor edebilirsiniz.

BlueAim

Decapat
Katılım
26 Ağustos 2023
Mesajlar
987
Makaleler
3
Çözümler
6
Daha fazla  
Cinsiyet
Erkek
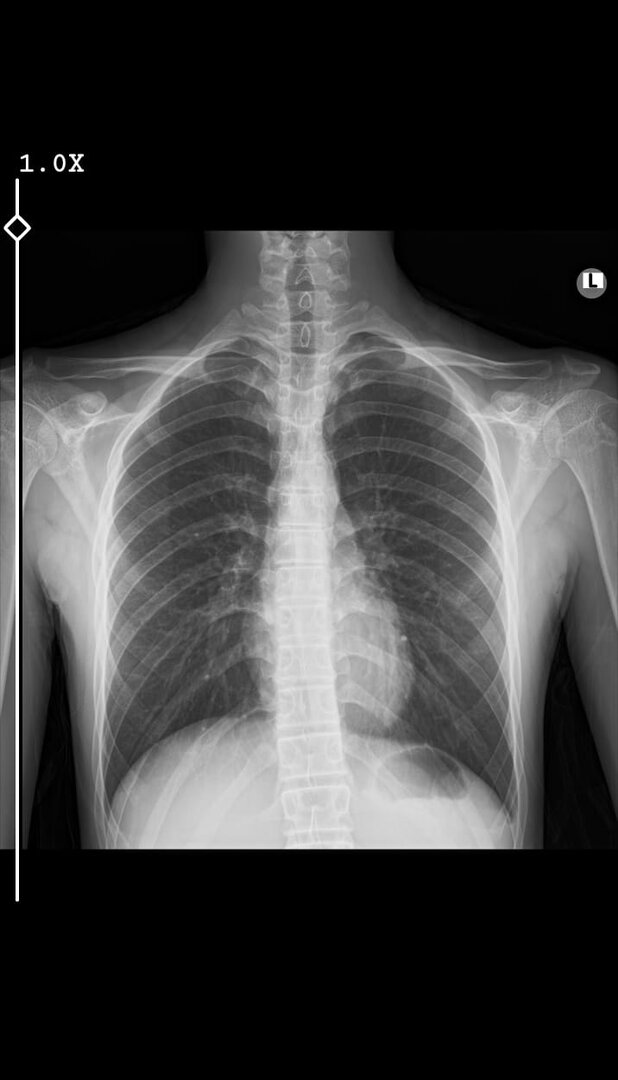
Birkaç ay önce doktor bana skolyoz olduğumu söyledi MSÜ işi benim için bitti 1 derece bile olsa almıyorlarmış. Bende dış alımlarla girmeyi düşünüyorum. Dış alımda sağlıktan elenir miyim?
 

Dosya Ekleri

  • 10c3f8f8-07c0-41a1-80a9-28bfac549fef.jpg
    10c3f8f8-07c0-41a1-80a9-28bfac549fef.jpg
    52,4 KB · Görüntüleme: 33
Çözüm
Hava Harp dışında diğer branşlarda 5 dereceye kadar sağlam kabul edilirsin.
Kaynak: https://www.mevzuat.gov.tr/MevzuatMetin/21.5.20169431.pdf Sayfa 116'da görebilirsin.
Omurganın A/P planda ayakta çekilen grafilerinde 5 dereceye (5derece dâhil) kadar olan eğrilikler Hava Harp Okulu öğrenci adayları hariç, tüm öğrenciadaylarında sağlam kabul edilir.

Ayrıca skolyoz için fizyoterapistine gitmeni öneririm, yardımcı olacaklardır.
Kim diyor 1 derece bile olsa almıyorlar? Onun derecesini iyi araştır belli sınırları var. Ayrıca görünürdede pek bir yamukluk yok gibi.

Evet hocam pek bir yamukluk yok gibi ama sağ kürek kemiğim bayağı bir ağrıyor egzersiz yaptığım zaman ağrılarım diniyor bir de spora gitsem az da olsa derece küçülürmü barfiks falan?
 
Hava Harp dışında diğer branşlarda 5 dereceye kadar sağlam kabul edilirsin.
Kaynak: https://www.mevzuat.gov.tr/MevzuatMetin/21.5.20169431.pdf Sayfa 116'da görebilirsin.
Omurganın A/P planda ayakta çekilen grafilerinde 5 dereceye (5derece dâhil) kadar olan eğrilikler Hava Harp Okulu öğrenci adayları hariç, tüm öğrenciadaylarında sağlam kabul edilir.

Ayrıca skolyoz için fizyoterapistine gitmeni öneririm, yardımcı olacaklardır.
 
Çözüm
Ben de geçende skolyoz var mı diye gittim benim omurgam biraz yamuk gibiydi. Hatta bence seninkinden daha yamuk. Bana Türkiye'nin en iyi doktorlarından biri baktı. Yok dedi sadece vücudun tutulmuştur falan dedi bence seninki de çok ciddi değil.
 
Dik durmaya çalış kardeşim günümüz bağımlılığı telefon falan çok etki ediyor omurgaya. Onlara dikkat et düzenli sırt antrenmanı ve sporunu yap geçer , derecesini düşürürsün evelAllah.
İnşAllah.

Ben de geçende skolyoz var mı diye gittim benim omurgam biraz yamuk gibiydi. Hatta bence seninkinden daha yamuk. Bana Türkiye'nin en iyi doktorlarından biri baktı. Yok dedi sadece vücudun tutulmuştur falan dedi bence seninki de çok ciddi değil.

Hangi şehirde bu doktor.
 

Technopat Haberler

Yeni konular

Geri
Yukarı