Epifiz plaklarım kapanmış mı?

justsalvo

Femtopat
Katılım
21 Ekim 2023
Mesajlar
2
Daha fazla  
Cinsiyet
Erkek
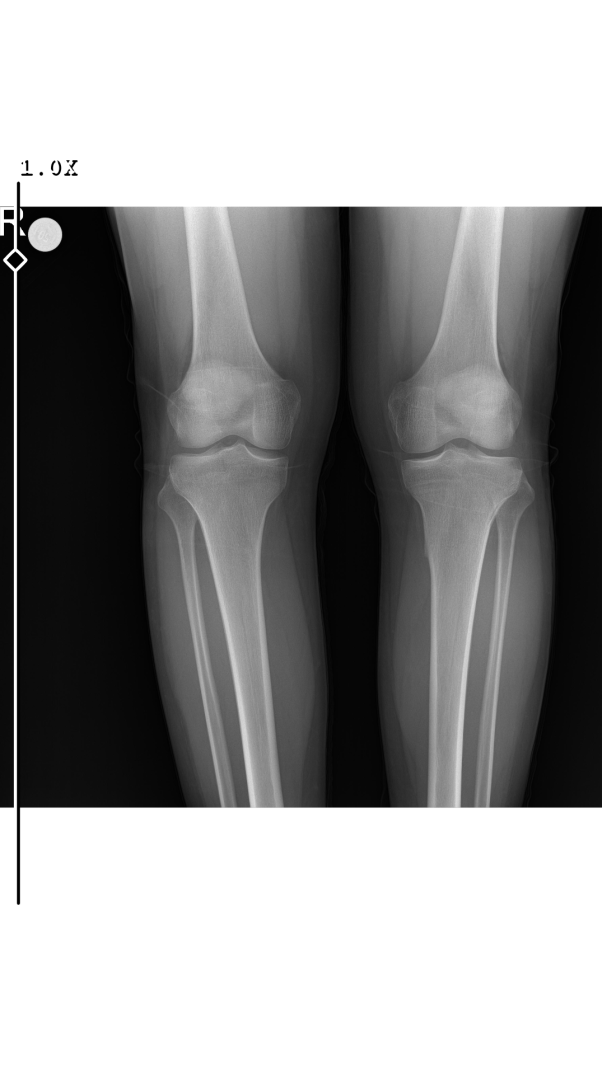
Arkadaşlar 14 yasindayim. Boyum 160 kilom 50 son 2 senedir cok az uzadim 5.sinıfda 140'dim. 7. sinifda 148'dim 8 de 158 şu an 9. sınıfım 160 fakat karantina doneminde ben gunde 1 ogun yiyordum. Yaklasik 600 700 kalori aliyordum. Beslenmem yetersizdi. Annem 160 babam 173 dayim 172/ben 160'im yasim 14 erkegim. Plaklarima bakar misiniz?
 

Dosya Ekleri

  • Screenshot_20231021_144557_Chrome.jpg
    Screenshot_20231021_144557_Chrome.jpg
    88,1 KB · Görüntüleme: 474
Tıp öğrencisiyim. Epifiz plağına bağlı uzama için ellerinizi atmanız da biraz garip olmuş. Boy uzaması olduğu için konu.

Uygun şartlarda düzgün beslenme ile babanızın boyuna erişmeniz lazım. Genelde babanızın boyunda olursunuz ancak ondan uzun da olabilirsiniz.

14 yaşında daha vücudunuzda hiçbir şey olmuyor. 18 gibi cinsel organlarınız bile büyüyor. Boyunuzun uzamaması içten bile değil. Sorun yok. Epifiz plağı ise şu an bilinen bilgilerce yaklaşık 20 yaşında tamamen kapanır. Büyüme kilitlenir. 20 yaşına geldiğinizde yaklaşık olarak boyunuz belli olacak.

Benimkiler kapanmış mı bakabilir misin lütfen
 

Dosya Ekleri

  • teletip_1743063302302.png
    teletip_1743063302302.png
    187,9 KB · Görüntüleme: 17
  • teletip_1743063299119.png
    teletip_1743063299119.png
    184,8 KB · Görüntüleme: 19

Bu konuyu görüntüleyen kullanıcılar

Technopat Haberler

Yeni konular

Geri
Yukarı