Boyun düzleşmesi ve boyun fıtığı başlangıcı var

@Bilgisayarsorun926 mr görüntüsü ile kendi görüntünü karşılaştıracaksan istediğin gibi sonuç elde edemeyebilirsin. Çünkü bazen mr makineleri tam verimle çalışmaz statik olabilir. Raporunu radyologlar mr görüntüsünü inceleyip yorumlayacaklardır.
 

Dosya Ekleri

  • c5c6c6c7 fıtık.png
    c5c6c6c7 fıtık.png
    395,3 KB · Görüntüleme: 60
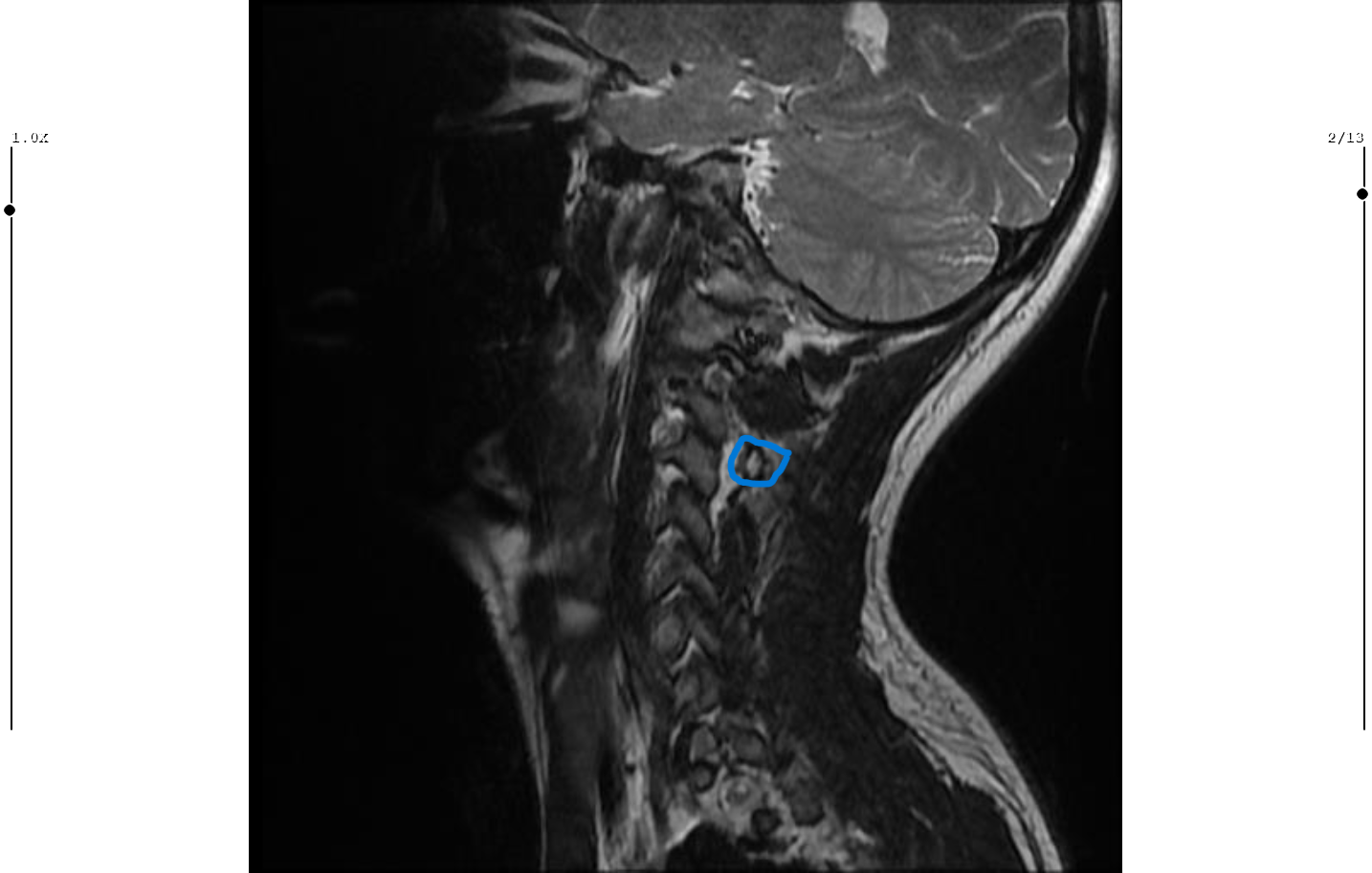
  • boyun arkası c5c6c6c7 fıtık.png
    boyun arkası c5c6c6c7 fıtık.png
    236,7 KB · Görüntüleme: 101
  • boyun düzleşmesi.png
    boyun düzleşmesi.png
    422,9 KB · Görüntüleme: 98
@Bilgisayarsorun926 mr görüntüsü ile kendi görüntünü karşılaştıracaksan istediğin gibi sonuç elde edemeyebilirsin. Çünkü bazen mr makineleri tam verimle çalışmaz statik olabilir. Raporunu radyologlar mr görüntüsünü inceleyip yorumlayacaklardır.
Onlar fıtık değil

Fıtık yok sende
Onlar fıtık değil

@Bilgisayarsorun926 mr görüntüsü ile kendi görüntünü karşılaştıracaksan istediğin gibi sonuç elde edemeyebilirsin. Çünkü bazen mr makineleri tam verimle çalışmaz statik olabilir. Raporunu radyologlar mr görüntüsünü inceleyip yorumlayacaklardır.
Var mı rapor atar mısınız ?

@Bilgisayarsorun926 mr görüntüsü ile kendi görüntünü karşılaştıracaksan istediğin gibi sonuç elde edemeyebilirsin. Çünkü bazen mr makineleri tam verimle çalışmaz statik olabilir. Raporunu radyologlar mr görüntüsünü inceleyip yorumlayacaklardır.
Bana instagramdan istek gönderir misin? kerimsshn
 
@Bilgisayarsorun926 şu ana kadar 5 tane mr girdim her raporda fıtık mevcut ve bunu doktor bildirir raporu ile tam teşekküllü sağlık kurulu heyeti ile birlikte onaylı şekilde tanı mevcut. Yani senin yok diye görüş belirtmen ile yok olmuyor maalesef.
 

Dosya Ekleri

  • radyoloji raporu 1.png
    radyoloji raporu 1.png
    51 KB · Görüntüleme: 63
@Bilgisayarsorun926 şu ana kadar 5 tane mr girdim her raporda fıtık mevcut ve bunu doktor bildirir raporu ile tam teşekküllü sağlık kurulu heyeti ile birlikte onaylı şekilde tanı mevcut. Yani senin yok diye görüş belirtmen ile yok olmuyor maalesef.
Knk instadan istek gönder sana dediğim fotoğrafları at bana anlatayım sağlık okuyorum.
 
@Bilgisayarsorun926 var tabii olmaz mı sol kolumun 4. 5. parmağında ağrı ve his kaybı mevcut üstüne boyun kısmından omurganın alt tarafına yani trapezius kısmına kadar ağrı oluyor hiç durmuyor. Ağrı kesici içmem yasak antibiyotik non streoidler kas gevşetici ilaçlar invaziv işlemlerin hepsi yani sadece bekliyorum öyle yaşıyorum o kadar.
 
@Bilgisayarsorun926 var tabii olmaz mı sol kolumun 4. 5. parmağında ağrı ve his kaybı mevcut üstüne boyun kısmından omurganın alt tarafına yani trapezius kısmına kadar ağrı oluyor hiç durmuyor. Ağrı kesici içmem yasak antibiyotik non streoidler kas gevşetici ilaçlar invaziv işlemlerin hepsi yani sadece bekliyorum öyle yaşıyorum o kadar.
His kaybı önemli bir şey değil mi yani doktorlar ne diyor ya da fizyoterapistler?
 

Bu konuyu görüntüleyen kullanıcılar

Technopat Haberler

Yeni konular

Yeni mesajlar

Geri
Yukarı